Because they are a cosmetic dentistry procedure, veneers are not covered by insurance, but that doesn't mean they aren't affordable.
Veneers in Round Rock, TX
Dr. Ace Jovanovski is the only dentist in the world with a Master Certificate in Dental Technology. He is uniquely qualified to give you incredible results with porcelain veneers created at his in-house lab. Book your appointment in Round Rock, TX, today:
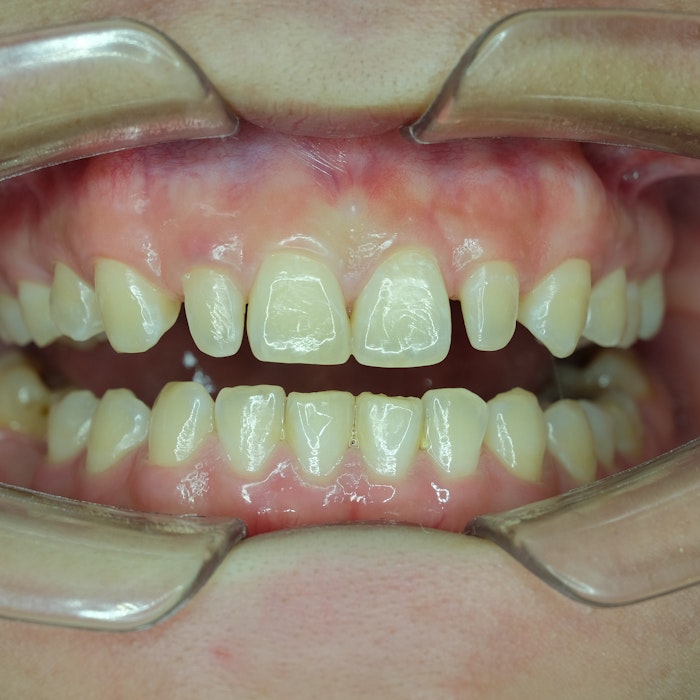
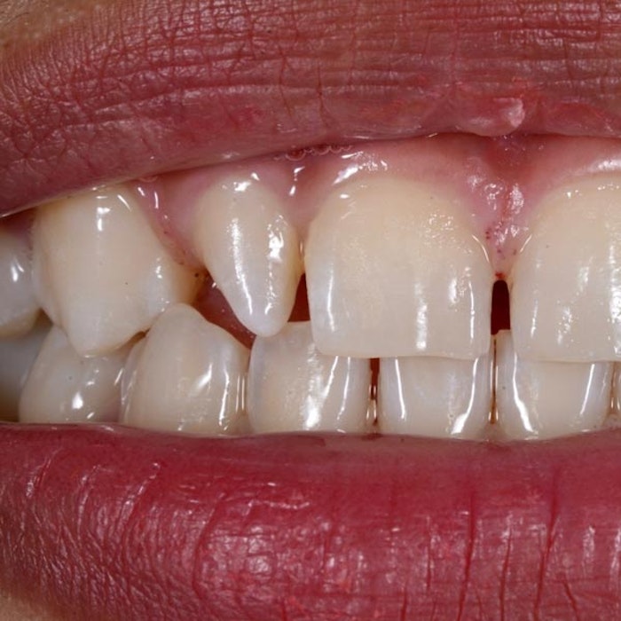
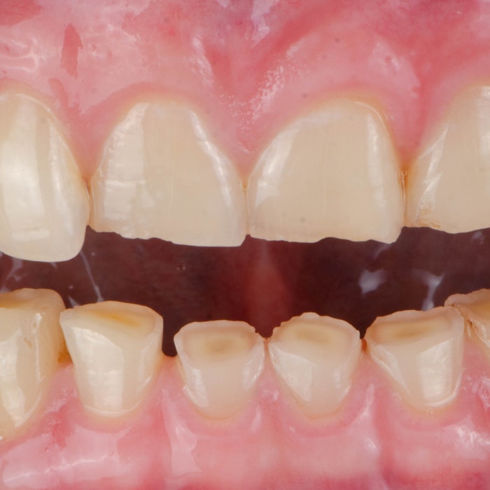
Dr. Ace Provides Stunning Transformations See the Difference Our Veneers Can Make

Dental veneers are thin shells (typically made of porcelain) that fit over the front surface of a tooth to conceal a range of cosmetic imperfections and enhance your smile. Our Round Rock office has an in-house lab where Dr. Ace has complete control over the entire process to ensure the most natural-looking and beautiful veneers possible.
Choose a Truly
Distinguished Dentist

We Go Above and Beyond to Make Veneers in Round Rock Affordable
Dr. Ace knows a beautiful, healthy smile can make a world of difference. He has dedicated much of his practice to restoring the smiles of people who have put off dental care for years. No matter the state of your smile, he can tailor treatment to your needs, features, and budget.
Are dental veneers covered by insurance?
Do you accept financing?
Yes. Our dentist aims to alleviate budgetary concerns whenever possible so he is happy to accept Proceed Finance® and CareCredit®. These third-party financing options allow you to pay for treatment in convenient low-interest and interest-free monthly installments. Dr. Ace also accepts cash, checks, and all major credit cards.
How long do veneers usually last?
With proper care, your porcelain dental veneers can last up to 20 years before they need to be replaced. Our veneers are extremely durable, and are both stain- and damage-resistant. When you maintain excellent oral health through daily brushing and flossing, along with six-month checkups, you can keep your veneers looking incredible for many years.
Why Round Rock Chooses Dr. Ace
In this video, Dr. Ace talks about the various applications of veneers as well as their benefits. With proper care, the results of porcelain veneers can last for years.
“I really love Dr. Ace and his whole team. Everyone is very cool, calming and friendly. I'm happy and proud with a smile these days. I'm so glad I ended up finding Dr. Ace and I hope for others, that need mouth help, do as well.” - Nate Hall
Customized Treatment Dental Veneers to Fit Your Needs
Need to refine one tooth? Envisioning a bigger cosmetic makeover? Taking your needs, goals, and budget into mind, we can help you explore a variety of effective veneers options, like:
EasySmile LifeLike Veneers
A dentist does not have to remove any tooth enamel to place these veneers. Additionally, they tend to be more affordable than porcelain options.
DuraThin Veneers
DuraThin veneers can also be placed without altering the natural teeth. They are thin porcelain veneers that do not require the removal of tooth enamel.
IPS e.max Veneers
Durability and beauty go hand in hand with IPS e.max® veneers. They are made of specially treated ceramic for strength and easy color-matching.
Porcelain Veneers
Patients have loved this tried-and-true option for decades. These traditional veneers are durable, stunning, and natural-looking.
Trial Smile Allows You To Feel Confident
Some patients are hesitant about committing to a cosmetic procedure because they can't picture the results. Thanks to Trial Smile, that's not an obstacle for our patients. Trial Smile is a wax mockup of the final product that Dr. Ace can create in our on-site lab.
You Don't Have to
Hide Your Smile
Get Started by Contacting Us Today
We take great pride in helping patients achieve smiles they feel confident sharing with the world. Veneers are a natural-looking option that gives patients straighter, whiter, more symmetrical teeth in as little as two appointments.
Are you tired of hiding your smile? Get started on your journey to the smile of your dreams. Call our dental practice in Round Rock, TX, or fill out our online form to request a veneer consultation with Dr. Ace today.
(512) 716-1200
Dr. Ace is simply amazing. My consultation with him was fantastic, and his expertise is unmatched. Dr. Ace is the only dentist in the world with a Master Certificate in Dental Technology (MCDT), and it really shows in the results… - Dorian Reinhardt
Your Comfort Is Our Priority Here's How We Take Care of Our Veneer Patients
Dr Ace and his team are absolutely fantastic! They made my journey so lovely from start to finish! I love my smile and I will always be grateful for all the joy they brought me during the process and now for the rest of my life!
View on GoogleHaving veneers placed isn't painful. If your teeth require preparation, we will use local anesthesia and gentle techniques to minimize any discomfort.
However, if you are still nervous about your treatment or have tooth or gum sensitivity, we understand, and we can help. We offer oral conscious sedation, a calming medication you can take before your porcelain veneers are placed.
Our office also features spa-like amenities to make your experience more comfortable, like private rooms with TVs, blankets, and neck pillows.
Transformative Results In as Little as One or Two Appointments
Having veneers placed is simple and much faster than many other cosmetic dentistry or restorative dentistry options. The process usually takes just one or two visits unless preparatory treatment is needed.
What Round Rock, TX Is Saying About Us
"Dr Ace and his team are absolutely fantastic!
They made my journey so lovely from start to finish!" Carolyn W.
Choose Care By a Well-Rounded Team Reach Out to Us Today
While certain dental offices will have you running all over town for different general, cosmetic, and restorative treatments, we have everything you need in one place. Whether you desire a cosmetic upgrade with veneers or we determine you need a restorative procedure to improve the health of your mouth instead, we can help you from our Round Rock dentist's office.
Don't put off treatment—we can get started on your dental journey right away. Simply send us a message with our form or call our Round Rock office today:
(512) 716-1200
Alternative Treatments
Veneers aren't your only option to improve your dental form, function, and look: we offer a suite of dentistry services. At your in-person consultation, Dr. Ace will draw upon his expertise in dentistry to guide you in the best direction.
Crowns
A dental crown covers the entire tooth, unlike veneers which are only attached to the front portion that shows when you smile. Veneers are typically more than enough if you are seeking to conceal cosmetic flaws in your front teeth. If you have suffered tooth damage, or wish to enhance a less visible tooth, crowns may be a better fit for your needs. They restore the shape of a heavily compromised tooth while also providing aesthetic benefits.
Implants
Veneers are not right for you if you are missing teeth or require extractions. Instead, we may recommend dental implants, artificial tooth roots that can support crowns or other restorations. While they are more expensive than alternatives, implants last a lifetime, provide the highest level of support for restorations, and prevent critical oral health issues. If you have lost or severely compromised teeth and want to make a dental investment that provides the highest return, implants may be right for you.












