Don't Put Off Treatment Let Our Dentist Care for You
Dr. Ace Jovanovski is both an experienced general dentist and a board-certified prosthodontist trained in the placement of dental implants and the creation of prosthetics. No matter the state of your oral health, he can provide you with quality care. Start your restoration journey with our dentist today.
Prosthodontic Dental Care
Can Change Your Life
Restored Functionality
Missing teeth can make it difficult to chew food and enunciate clearly when you speak. Our dentist can provide you with solutions to restore your oral function and greatly improve your quality of life.
Elevated Confidence
Missing teeth can cause feelings of embarrassment when you speak and smile. Our restorations are designed to be indistinguishable from natural teeth, and we can use them to give you a beautiful smile you'll want to show off. Certain prosthodontic solutions can also support your facial structures, helping you preserve a more youthful appearance.
Improved Overall Health
Your dental health is tied to your overall health. Missing or decayed teeth can make it difficult to eat a nutritious diet, cause infections in the mouth, and are associated with health risks like heart disease and stroke. You can minimize your risk for these concerns by restoring or replacing your teeth with prosthodontics.
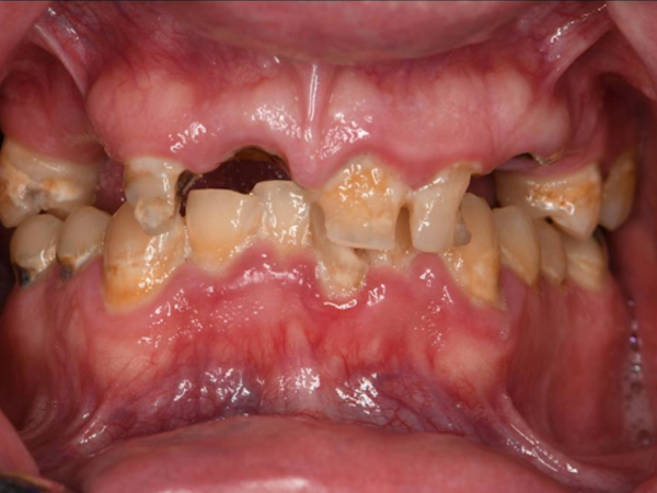
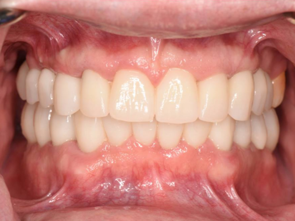
See the Difference
We Can Make
Our friendly team provides healthy smiles to patients who have endured dental trauma and oral health issues.
Transform Your Smile
With Prosthodontics
Request Your Appointment
in Round Rock, TX, Today
Dr. Jovanovski has been in practice since 2009. Since then, he has been providing patients with healthy, functional smiles, no matter how long they have forgone dental treatment. Our dentistry practice is known for taking on difficult cases and returning healthy smiles to patients who have endured dental trauma and extensive oral health issues.
If you live in Austin, Georgetown, or nearby and you're ready to put yourself first and transform your smile, we invite you to request an appointment with our dentist in Round Rock, TX:
(512) 716-1200
We Make Round
Rock, TX, Smile
"Best dental experience I have ever had."
Absolutely the best dental experience I have ever had. Dr Ace did an almost full lower implant and it was one of the best decisions I have ever made. Worth every penney!
View on GoogleThank you so much Dr.Ace! My teeth look so good and I get so many compliments. If my temps look this good, I can’t wait to see my final results!!
View on GoogleOur Prosthodontic Solutions
Dental Implants
Dental implants can be surgically placed in your jawbone to replace tooth roots and support restorations. Implants are considered the gold standard in teeth replacement because they offer maximum stability for restorations and prevent the jawbone atrophy that occurs after tooth loss.
Dentures
We offer both partial and full dentures to address every degree of tooth loss. If you have a few healthy teeth left in your jaw and you want to preserve them, you may be a better fit for a partial denture. Otherwise, we can restore functionality to your smile with a traditional or implant-supported full arch restoration.
All-on-4
If you're not a candidate for traditional implants, we offer the All-on-4® method. This solution can support a full denture on just four strategically placed implants. All-on-4 allows many patients to skip bone grafting. It can help you benefit from a faster treatment and quicker recovery time.
Why See a Prosthodontist? Dr. Ace Has Advanced Training to Repair Your Smile

Prosthodontists are dentists with additional years of training in prosthodontics, a specialty that focuses on repairing and replacing teeth with optimal function and aesthetics in mind. Our dentist, Ace Jovanovski, is renowned for his knowledge and skill in the field.
Dr. Ace has been published in a number of well-known medical journals and books. He is an active member of several groups dedicated to furthering the study of dentistry and prosthodontics, like the Seattle Study Club and the Spear Study Group, and he has completed research at top institutions like the Cleveland Clinic. In his free time, Dr. Ace serves as a lecturer in prosthodontics.
If your smile is in need of repair, trust the job to an authority like Dr. Ace. There's a reason he consistently receives 5-star reviews on Google—come see for yourself during a consultation. You can book one by contacting us online or calling our Round Rock office:
(512) 716-1200
What Central Texas Has to Say About Dr. Ace and Our Round Rock Team
Dr. Ace and his team are very courteous professionals. They truly make you feel important and treat you accordingly. Especially, Dr. Ace himself is very personal and makes you feel at ease during the treatment. I feel that choosing them was a best decision I made. I think they are better equipped and have better resources for doing such a long and complicated job. I am fully satisfied and happy, and I am looking forward for their post-treatment for my teeth. Thank you all for a wonderful job.
View on GoogleI was referred to Dr. Ace by my dentist who said my teeth were worn out; cracked, broken, worn, grooves worn in them, and just looked and felt bad. Dr. Ace determined that he could install crowns instead of replacing them with dentures. Dr. Ace made every effort to keep me comfortable. And, when it was all over, after several months, I had a beautiful set of teeth. Dr. Ace is a wonderful individual, extremely intelligent, and a great family man. All of his staff are knowledgeable and friendly. I felt more as a welcome guest than a patient. I'm so glad I did it.
View on GoogleThe Only Dentist With an MCDT Certificate
Dr. Ace Jovanovski is the only dentist in the world who has earned a Master Certificate in Dental Technology from the National Board for Certification in Dental Technology. He achieved this distinction by completing studies in five different technological specialties as overseen by the Board.
As a result, our dental office in Round Rock, TX, is equipped with some of the most advanced tools available today, including digital X-rays, computerized surgical guides, laser tools for more precise and comfortable treatment, and digital smile simulation software so you can preview your results.
For many patients, the best part is our in-office lab, which allows Dr. Ace to handle all aspects of the design and fabrication of dental restorations himself. We don't have to work with outside labs to restore your smile, so you can experience much quicker results that are tailored specifically to your needs.

Receiving Your Restoration at Our Dentistry Office in Round Rock, Texas
With a broad range of treatment options, you no longer have to be unhappy with the appearance of your smile and live with tooth loss, damaged teeth, and reduced oral function.
Durable, Lifelike Restorations Start With Quality Materials
"I'm so glad I ended up finding Dr. Ace"
"I really love Dr. Ace and his whole team. Everyone is very cool, calming and friendly. My mouth was a total mess and they did so much work for me and on me. I'm happy and proud with a smile these days. I'm so glad I ended up finding Dr. Ace and I hope for others, that need mouth help, do as well." Nate H., 5-Star Google Review
We Make Treatment Comfortable
Many patients put off receiving the dental care they need because of bad past experiences or a fear of lengthy or painful procedures. We do everything we can to make each procedure comfortable. In addition to numbing local anesthesia, we can administer sedation so you can sit back and relax while we improve your oral health.
Experience the Benefits of Sedation Dentistry
If you require a longer procedure, have trouble sitting still, have a sensitive gag reflex, or struggle with dental anxiety, we have sedation options that can help you. We offer oral conscious sedation, IV sedation, nitrous oxide sedation, and general anesthesia. We can recommend the best choice based on your comfort level, budget, and the procedure you're undergoing.
We always aim to provide our patients with worry-free treatment, so if there's anything we can do to make your experience with prosthodontics more comfortable, please let our staff know.
We Accept Financing So Treatment Works for Your Budget
Our team focuses on providing specialized services that meet often complex patient needs. We have found that the bureaucratic nature of insurance policies often stands in the way of providing the personalized level of care we are committed to, so we do not accept dental insurance. However, many of the treatments we offer are eligible for coverage, and our Round Rock team will still gladly file a claim for direct reimbursement on your behalf.
We don't want you to worry about costs when you work with us, regardless of insurance. Our dental practice accepts financing through Proceed Finance and CareCredit®. These lenders offer loans for dental care with little or no interest attached, depending on your credit. You can repay the loan over the course of several months or years in installments that are a comfortable fit for your budget.
New Patient Offer!
/
If it's your first time visiting our Round Rock practice, take advantage of our new patient special—just $169 for a thorough exam, X-rays, and a one-on-one consultation with Dr. Ace. Get in touch today to claim your offer.
"Thank you, Dr. Ace! You are truly a blessing and an answer to my prayers."
My mother needed extensive dental work done in the midst of a pandemic and we're so grateful we found Dr. Ace. We probably we could have gone to someone else and pay a little less but we knew the work that she needed requires a true professional who knows exactly what he's taking on and my mind is at ease knowing my mother is under Dr. Ace's care. The team of staff here is also wonderful.
View on GoogleI didn’t even know what a prosthodontist was before I found Dr. Ace Jovanovski. I recently had a full mouth restoration created by him and am exceptionally pleased with my new teeth and the entire experience. After my consultation, I knew I had found the right doctor, and I now have the best fitting and looking teeth of my entire life. Not only is Dr. Ace an expert in his field, but he is a hard-working artist and a perfectionist. I am so grateful to have found him and am enjoying my beautiful, new smile! Thank you, Dr. Ace! You are truly a blessing and an answer to my prayers.
View on Google













